Lupus Nefriti
Lupus kelimesi latincede kurt anlamına gelmektedir. Hastalığa bu ad bir kurdun avına yaptığı gibi zaman içerisinde sinsi bir şekilde güçsüz dermansız bıraktığı için verilmiştir. Sistemik lupus eritematozus(SLE), adı gibi sistemik tutulum ile giden ciltte eritem dediğimiz döküntüler ile seyreden bir rahatsızlığımızdır. Bu sistem tutulumlarından en önemlisi de böbrek tutulumu dediğimiz “lupus nefritidir”. Genellikle SLE tanısını takip eden 5 senelik süreçte gelişimi beklenir. SLE ve lupus nefriti alevlenmeler dediğimiz hastalığın aktif olduğu ve pasif olduğu dönemlerle seyreder. Bu aktif dönemlerde tutulan dokularda kalıcı hasarlar bırakmaması için erken tanı önemlidir. Hastalığın genel olarak SLE tanısı aldığı dönemden itibaren idrar tahlili ve kan tahlili gibi basit tetkiklerle böbrek tutulumu yönünden alarmda olunması gerekir.
Hastalığı gelişim süreci yönünden inceleyecek olursak, özetle otoimmünite dediğimiz vücudun antikor olarak adlandırılan kendi silahları ile kendisini hasarlaması sürecidir. Anti Nükleer Antikor(ANA), Anti-dsDNA gibi SLE için takip tanı kriteride olan antikorlar direkt olarak böbreğin yapı taşı nefronun bir parçası olan glomerülde birikime neden olmaktadır. Bu ve diğer glomerüle afinitesi yüksek diğer antikorlar oluşturdukları yangısal reaksiyonla birlikte bölgeye immünglobulin ve kompleman dediğimiz mesajcıların aracılığı ile akyuvar olarak tanımladığımız savunma hücrelerimizin birikimini sağlarlar. Buna immün kompleks oluşumu diyoruz ve hastalığın tedavi edilmezse kalıcı doku kayıpları oluşturduğu alevlenme süreçlerini meydana getirir.
Genetik yatkınlık her sistemik hastalıkta olduğu gibi SLE'de de üzerinde durulan bir konudur. Onlarca gen araştırılmıştır. Her zaman olduğu gibi ABD'nin veri sisteminden alınan istatiklerde aile prevalansının %10-12, tek yumurta ikizlerinde %24-52, çift yumurta ikizlerinde %2-5 oranında yatkınlık tespit edilmiştir. HLA class-II genlerden HLA-DR2 ve HLA-DR3 ile SLE için yüksek prevalans, HLA-DR4 ile ise düşük prevalans olduğu tespit edilmiş. Kompleman faktörlerimizden C1q, C1r, C1s , C2 ,C4 defisitinde , C4a ve C4b de ise gen delesyonunun SLE ile yüksek ilişkili olduğu tespit edimiştir. Sitokin ailesinde ise IL-10, IL-1RN ve TNF alfa ile SLE arasında güçlü ilişki olduğu gösterilmiştir.
SLE'nin yaygınlığı ile ilgili olarak kaynaklar 2000 kişide 1 kişi olarak tarif etmektedir. Lupus nefriti için ise SLE'li hastaların %30-90'ında tutulum olacağı belirtilir. Ortalama olarak SLE hastalarında %50 oranında lupus nefriti beklenir. Oranlardaki değişiklik ırk, cinsiyet, çevre faktörler gibi nedenlerle değişmektedir. Danchenko'nun 2007 yılında Lupus dergisinde yayınladığı epidemiyoloji çalışması makalesinde ABD, Kanada,Avrupa,Asya,Avustralya örnekleminde beyaz olmayan toplumlarda SLE'nin daha yaygın olduğunu, Avrupa ve Avustralya'da ABD'ne göre daha fazla ,Japonya'da ise en az tutulum olduğunu belirtmiştir. Avrupa'da en fazla tutulumun olduğu ülkeler ise İsveç, İzlanda ve İspanya olarak bulunmuş.
SLE 9:1 oranıda kadınların hastalığıdır diyebiliriz. Erkekte SLE kadına göre daha ağır seyretmektedir ve komplikasyonlar doku kaybı ile birliktedir. Tutulum yaşı 20-40 yaş dilimi olarak belirtilir. Erken yaşta tutulum kötü prognoz habercisi kabul edilir.
Lupus nefriti hastaları nefrotik sendrom tablosunda dediğimiz ellerde, bacaklarda, ayak sırtında ödem, hipertansiyon ile gelir. Ödem, anazarka dediğimiz yaygın tüm vücut ödemi ile sakral bölgede birikim ve karın içinde sıvı birikmesi dediğimiz assit tablosu ile de karşımıza çıkabilir. Bununla birlikte SLE'nin halsizlik, vücutta döküntüler, yüzde kelebek tarzı eritem,ateş, artralji , serozite bağlı olarak yan ağrıları olabilir.
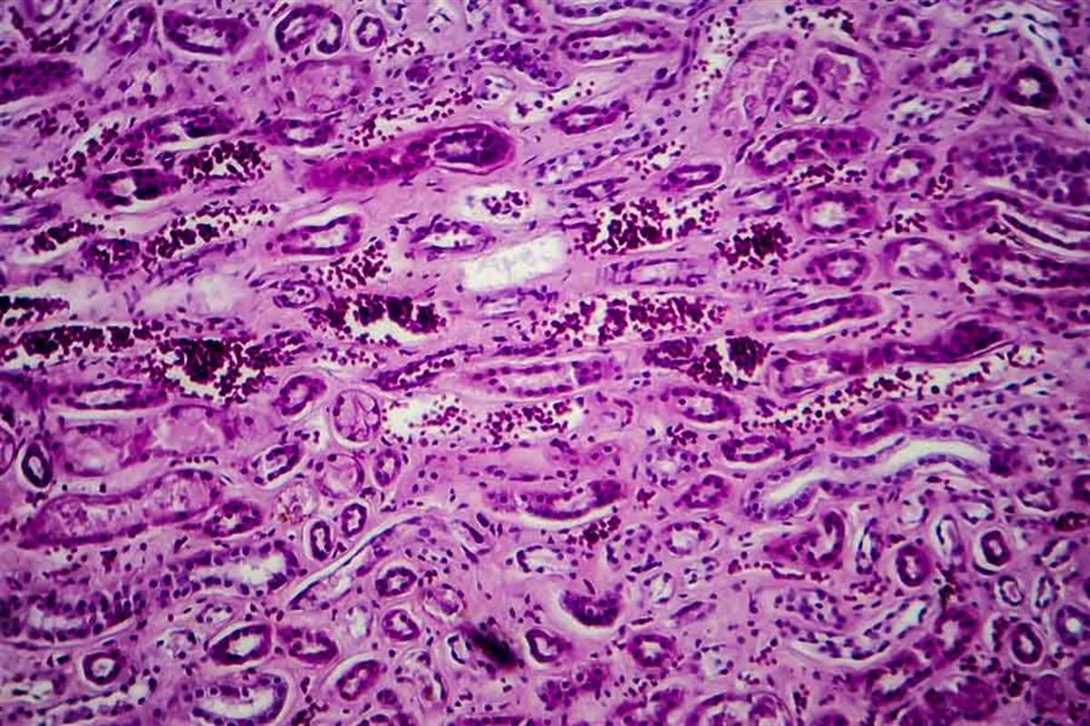
Lupus nefritinin laboratuvarında üre, kreatinin başta olmak üzere biyokimya, tam idrar tahlili, idrarda protein atılım düzeyi değerlendirilir. Tanı ve hastalığın aktivitesini değerlendirmek üzere kan sayımı, sedimentasyon, ANA, anti-dsDNA, C3,C4, anti-C1q antikor titreleri bilgi verir. CRP değeri sedimentasyon yüksek olsa bile normal seyreder. CRP yüksekliği SLE'de sadece artrit ya da diğer enfeksiyonlar durumunda gözlenir. Aktivite göstergesi laboratuvar tetkikleri hastalığın aktivasyonuna ve evresine göre farklılık gösterebilir. Kesin tanı, aktivite değerlendirmesi ve tedaviyi şekillendirebilmemiz için böbrek biyopsisi şarttır. Görüntüleme yöntemlerini organların etkilenim düzeyini değerlendirmek ve akciğer,kalp, karın zarında sıvı birikimlerini değerlendirmek için kullanılır.
Renal biyopsinin patolojik değerlendirmesi 2003 yılında uluslararası nefroloji cemiyeti ve renal patoloji cemiyetinin(ISN/RPS) tarafından tebliğ edilen kılavuza göre değerlendirilmektedir . Bu rapora göre lupus nefriti 6 evrede incelenir. Renal biyopsi patoloji uzmanı tarafından değerlendirilirken yine ISN/RPS 2003 kılavuzunun eki olan aktivite indeksleri ve kronisite indeksleri yönünden nefroloğa bilgi vermektedir. Bu bilgi hastalığın seyrini öngörmede ve tedavi değerlendirmelerinde önem arz etmektedir.
Hastalığın tedavisi histolojik evrelendirmeye göre değişmekle birlikte tedavisi mümkündür.
Hastalığın tedavisini evrelere göre özetlemek gerekirse;
1- Class-I minimal mezengial LN: immünsüpresif tedavi gerektirmemektedir.Destekleyici tedavi ile takip edilir. Destekleyici tedavi kapsamında tansiyonu<130/80mmHg olacak şekilde antihipertansif tedavi düzenlenmesi ve öncelikli olarak ACE inhibitörleri ve/veya ARB grubu ; hiperlipidemi, hiperkolesterolemi varlığında statin grubu ilaçların kullanılmasını kapsar. Bunun yanında ek sorunlar varsa onları önlemeye yönelik tedavilerde ilave edilir.
2- Class-II mezengial proliferatif LN: İdrarda protein atılımı 1000mg/gün'ün altında ise destekleyici tedavi, 1000mg/gün'ün üzerinde proteinüri söz konusu ise tekli olarak kortikosteroid tedavisi denenebilir.
3- Class-III fokal, Class-IV diffüz LN: agresif seyretmesi ve tedavisiz kalması ya da yetersiz tedavi durumunda kronik böbrek yetmezliğine hızla ilerlemektedir. Bu nedenle kortikosteroid ve immünsüpresif tedavi destekleyici tedaviye ilave edilir. İmmünsüpresif ilaç sıklıkla siklofosfamid veya mikofenolat tuzu olacaktır. Azatiyopürin ikinci sıra ilaç olarak kullanılır.
4- Class-V membranöz LN: histolojisi itibari ile class-III ve IV kadar agresif seyirli değildir. Genellikle tekli kortikosteroid tedavisi ile takip edilir.
Bunların haricinde halen SLE tedavisinde tedavi arayışları ve çalışmalar devam etmektedir. Bunlardan kılavuzlara da girmeye başlayan rituksimab endikasyon dışı formu ile artık ülkemizde de ödenmeye başlamıştır.
Lupus Nefriti hastaları diyalize başlamadan da böbrek nakli olabilirler.
Tüm tedavilere rağmen kronik böbrek yetmezliği ve diyaliz tedavi gereken hastalarda periton diyalizinden ziyade hemodiyalizi tercih etmesi önerilir.Hemodiyalizde kullandığımız diyalizörlerin biyouyumlu ve yüksek etkinlik ve geçirgenlikte olmasının antienflamatuvar etkisinden yararlanmamızı sağlar. Lupus nefriti hastaları hemodiyaliz hasta populasyonunun %1,5 'luk kısmını oluşturmaktadır. Bununla birlikte renal replasman tedavilerinin en optimali olan böbrek naklide lupus nefriti için mümkündür. Tek istisnası aktivitesinin olmadığı bir süreci tamamlaması gerekmektedir. Hastalar genellikle hemodiyaliz süreci sonrası transplantasyon olsa bile pre-emptif dediğimiz diyaliz başlamadan nakil şansı mevcuttur.












