Pick Hastalığı Belirtileri, Nedenleri, Teşhis ve Tedavisi
Pick hastalığı, zihinsel işlev kaybına neden olan demans türlerinden biridir. Beynin ön lobu ile temporal loblarını etkileyen bu hastalık; düşünme, konuşma ve davranışlarda değişikliklere yol açabilir. Nadir görülen bu demans türü, genellikle 40 ila 60 yaş arasında gelişse de 20 yaşından küçük kişilerde de ortaya çıkabilir. Alzheimer hastalığı ile benzer semptomlar görülebilir. Çeşitli testlerle diğer demans türlerinden ve Alzheimer hastalığından ayırt edilerek semptomlar kontrol altına alınabilir.
Pick Hastalığı Nedir?
Pick hastalığı, ilk olarak 1892’de nörolog ve psikiyatrist Arnold Pick tarafından teşhis edilen nörodejeneratif bir demans türüdür. Diğer demans türlerinde ortaya çıkan birincil semptomlar davranış veya kişilik değişiklikleridir. Pick hastalığının erken semptomları ise genellikle konuşma bozukluklarıdır. Frontotemporal demans (FTD) olarak da bilinen bu hastalık oldukça yavaş ilerler. Hastanın kişiliğini etkileyen semptomların yanı sıra bilişsel işlevlerde düşüşe de neden olabilir.
Pick hastalığına beyinde “Pick cisimcikleri” ya da “Pick hücreleri” adı verilen plakların oluşumuna yol açan tau proteinleri sebep olur. Tau proteinleri, Alzheimer hastalarının beyninde de bulunur. Ancak Pick hastalığına sahip kişilerde yalnızca bir formu vardır. Diğer bir deyişle Alzheimer ve Pick hastalıklarının seyri de farklı olur. Pick hastalığı, özellikle ilerleyen yaşlarda en yaygın bunama nedenleri arasındadır.
Pick Hastalığı Neden Olur?
Diğer FTD türlerinde olduğu gibi Pick hastalığı da tau adı verilen sinir hücresi proteinlerinin miktarı veya çeşitlerinden kaynaklı olarak görülür. Bu proteinler vücuttaki tüm sinir hücrelerinde bulunur. Eğer kişide Pick hastalığı varsa tau proteinleri, Pick cisimcikleri yani küre şeklinde kümeler hâlinde birikmeye başlar. Bu proteinler eğer frontal ve temporal lobdaki sinir hücrelerinde biriktiyse bu hücrelerin ölmesine neden olur. Bunun sonucunda beyin dokusu küçülür ve demans semptomları görülür.
Pick hastalığı, anormal protein oluşumundan dolayı ortaya çıksa da bu anormal protein oluşumuna neden olan durum henüz bilinmemektedir. Bununla birlikte Pick hastalığı ve diğer FTD türlerinin bağlantısını gösteren anormal genler bulunmuştur. Ek olarak aile öyküsünün de Pick hastalığı riskini arttırdığı görülmüştür.
Pick Hastalığının Semptomları Nelerdir?
Pick cisimcikleri beynin frontal ve temporal loblarında oluşur. Beynin bu bölümleri, davranışlar, kişilik ve konuşmadan sorumludur. Dolayısıyla semptomlar da bu bölgelerle ilgili olarak ortaya çıkar. Pick hastalığının semptomları yavaş yavaş şiddetlenir. Hasta konuşma güçlüğü yaşayabilir, davranış sorunları ya da düşünmede problemler oluşabilir. Aynı zamanda Pick hastalığı olan kişiler sosyal ortamlarda alışılmadık davranışlarda da bulunabilir. Pick hastalığında görülen semptomlar ise şu şekildedir:
Dil ve Konuşma Bozuklukları
- Konuşamama
- Kelime bulamama, yaygın nesnelerin adını unutma
- Konuşmada ya da konuşulanı anlamakta sorunlar
- Kendisine söylenenleri tekrarlama
- Kendi söylediklerini tekrarlama
- Kelime dağarcığının azalması
Davranışsal Bozukluklar
- Bir işi sürdürememe
- Aynı filmleri izlemek veya aynı kelimeleri tekrar etmek gibi sürekli tekrarlayan hareketler
- Zorlayıcı davranışlar
- Dürtüsel davranışlar
- Sosyal etkileşimden kaçınma
- Sosyal etkileşime girememe
- Kişisel hijyene gösterilen özenin azalması
- Agresif davranışlar
- Acele karar almak ve uygulamak
- Uygunsuz davranış ve konuşmalar
- Odaklanmada zorlanma
Duygusal Değişiklikler
- Ruh hâlinde ani ve sert değişiklikler
- Sinirli ya da gergin hissetme
- İnsanlardan duygusal olarak uzaklaşma ya da yakınlık hissedememe
- Motivasyon kaybı ve günlük aktivitelere olan ilginin azalması gibi depresyon benzeri semptomlar
- Olaylar karşısında umursamazlık
- Davranış değişikliklerini fark edememe
- Empati kaybı ve etrafındakilerin hislerini anlayamama
Sinir Sistemi Sorunları
- Hafıza kaybı
- Hareket etmede ya da koordinasyonda zorluk
- Sert kas tonusu
- Fiziksel açıdan güçsüzleşme
- Üriner inkontinans
- Yemek yemede veya yutmada zorluklar
- Aşırı yeme veya tatlıya aşırı düşkünlük
Pick hastalığında bazı kişiler pika sendromu da yaşayabilir. Pika sendromu, hastanın besin olarak kabul edilmeyen maddeleri yemesidir. Bu sendromu yaşayan kişiler çakıl taşları, toprak, saç, kâğıt ve boya gibi maddeleri yiyebilir.
Pick Hastalığının Neden Olabileceği Komplikasyonlar Nelerdir?
Frontotemporal demansın yol açtığı bilişsel ve fonksiyonel gerileme çeşitli komplikasyonlara neden olabilir. Hasta, tatlıya aşırı düşkün hâle geldiyse buna bağlı olarak hızla kilo alabilir. Bununla birlikte Pick hastalığı yutmada zorluğa neden olduğundan hasta hızlı bir şekilde kilo da kaybedebilir. Ayrıca yutma zorluğu yetersiz besin alımına yol açarak gelişme geriliğine de sebep olabilir. Hasta yürüme bozuklukları yaşıyorsa düşme tehlikesi ve travmatik yaralanma riski de artar.
Pick Hastalığının Evreleri Nelerdir?
Pick hastalığının evrelerinin belirlenmesi için özel bir ölçek yoktur. Ancak Pick hastalığında da demans türleri için kullanılan Reisberg Ölçeğine bakılabilir. Reisberg Ölçeğine göre hastalığın ilerleyişi şu şekildedir:
- 1-3. evreler: Genellikle bu evrelerde demans semptomları şiddetli değildir. Bu evrelerdeki hastalarda bilişsel gerileme olmayabilir ya da çok hafif veya hafif olarak görülür.
- 4. evre: Bu evre 2 yıl kadar sürebilir. Bu evredeki hastada orta derecede bilişsel gerileme görülebilir veya erken evre demans başlamış olabilir.
- 5. evre: Yaklaşık 1,5 yıl süren bu evredeki hastada orta derecede şiddetli bilişsel gerileme olabilir ya da orta evre demans meydana gelir.
- 6. evre: 2,5 yıl kadar süren bu evrede hastada şiddetli bilişsel gerileme vardır.
- 7. evre: 1,5 ila 2,5 yıl arasında süren bu evrede hastada çok şiddetli bilişsel gerileme olabilir veya hasta ileri evre demans yaşayabilir.
Pick Hastalığı Tanısı Nasıl Konur?
Pick hastalığı için yapılan muayenede hastanın yaşadığı semptomlar öğrenilir ve tıbbi geçmişi gözden geçirilir. Daha sonra ise hafıza, davranışlar, konuşma ve zihinsel işlevlerin değerlendirilebilmesi amacıyla birtakım özel testler uygulanır. Genellikle bu testler yazılı olarak yapılır. Hastadan bazı nesneleri çizmesi de istenebilir. Bunun yanı sıra hastanın ailesi ve yakın çevresi ile davranışları hakkında bilgi almak için görüşülebilir. Doğru teşhis için fiziksel muayene ve detaylı bir nörolojik muayene de yapılır.
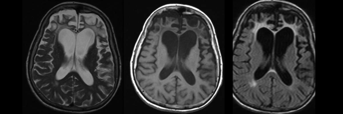
Hastada Pick hastalığına neden olan genin olup olmadığına bakmak için DNA’yı incelemeyi sağlayan bir kan tahlili de yapılabilir. Kan tahlilleri ayrıca bunama belirtilerine neden olan B12 vitamini eksikliği, hipertiroidizm, frengi gibi hastalıkların teşhis edilmesini de sağlar. Bunlara ek olarak beynin detaylı bir şekilde incelenebilmesi için MR, EEG, CT ya da PET gibi görüntüleme yöntemleri gerekebilir. Bunlar sayesinde beyinde meydana gelen değişiklikler ve beynin şekli rahatlıkla görülür. Aynı zamanda görüntüleme yöntemleri ile beyin tümörleri ya da bunama semptomlarına yol açan diğer tıbbi durumlar da ekarte edilmiş olur.
Teşhisin doğrulanması için lomber ponksiyon da uygulanabilir. Bu işlemde hastanın omurgasına yakın bir bölgeden az miktarda sıvı alınır. Nadiren de olsa biyopsi yapılarak beyin dokusundan bir miktar alınıp incelenebilir.
Pick Hastalığı Nasıl Tedavi Edilir?
Pick hastalığının tamamen iyileşmesini sağlayan herhangi bir tedavi yöntemi mevcut değildir. Tedavi, hastalığın semptomlarının kontrol altına alınmasını hedefler. Bu sayede semptomların ilerleyişi de yavaşlatılmış olur. İlaç tedavisi ile depresyon, sinirlilik ve ruh hâli değişiklikleri gibi semptomların yönetimi sağlanabilir. Böylece hastanın yaşam kalitesinin de arttırılması sağlanır.












