Atelektazi
Atelektazi; akciğerin bir lobunun, belirli bir bölgesinin ya da tamamının büzüşerek sönmesi ve hava ile dolamaması olarak tanımlanır. Atelektazi, karbondioksit ve oksijen alışverişini sekteye uğratır ve bazı durumlarda etkilenen bölgede şiddetli bir ağrı ile kendini gösterir. Ancak, bazı durumlarda atelektazi hiçbir belirti göstermeyebilir. Akciğerlerde yer alan küçük hava kesecikleri olan alveollerin içindeki havanın boşalması sonucu görülür.
Atelektazi Nedir?
Atelektazi; sık karşılaşılan ve birden fazla nedene bağlı olarak gelişebilen bir solunum komplikasyonudur. Ameliyat sonrası gelişebildiği gibi, kistik fibrozis, akciğer tümörleri, göğüs travmaları, akciğerde sıvı birikmesi ve solunum yetmezliğine bağlı olarak da ortaya çıkabilir. Ayrıca, yabancı bir maddenin solunum yoluna girmesi sonucu solunum yolunun tıkanması da atelektaziye neden olabilir.
Atelektazi; altta yatan sebebe bağlı olarak akciğere hava gitmemesi sonucu oluşur. Bu nedenle, akciğer hava ile dolamaz ve solunum işlevini yerine getiremez. Belirtiler ise altta yatan sebebe bağlı olarak değişir, ancak bu komplikasyon, belirti vermeden de ortaya çıkabilir.
Atelektazi Belirtileri
Atelektazi sonucu görülen belirtiler altta yatan sebebe bağlı olarak değişiklik gösterir. Yukarıda da belirtildiği gibi, bazı durumlarda atelektazi hiçbir belirti göstermeyebilir. Tüm solunum yolu rahatsızlıklarında olduğu gibi nefes almada güçlük, hızlı ve yüzeysel nefes alıp verme, hırıltılı solunum, öksürük ve ateş gibi belirtilerin görülmesi durumunda vakit kaybetmeden bir doktora başvurmak en iyisi olacaktır.
Solunum güçlüğü yaratan herhangi bir durum çoğunlukla acil müdahale gerektirir. Bu nedenle, yukarıdaki belirtilerin herhangi biri ile karşılaşıldığında, uygun ve gerekli tedavinin hemen uygulanabilmesi için bir sağlık kuruluşuna başvurmak ve gerekli tetkikleri yaptırmak kritik önem taşır. Buna ek olarak, solunum yoluna yabancı bir madde kaçtığından şüphelenildiği ya da ani solunum yetmezliği gibi bir sorunun ortaya çıktığı durumlarda da vakit kaybetmeden acil servise başvurulmalıdır. Özellikle çocuklarda bu konuda özel dikkat gösterilmelidir.
Atelektazi Nedenleri
Atelektazide birden fazla altta yatan neden olabilir. Bu komplikasyon, akciğerdeki hava yollarının tıkanması ya da hava yolunun dışarıdan bir basıya maruz kalması sonucu oluşur. Tıkanma kaynaklı atelektazinin başlıca nedenleri arasında büyük ameliyatlar, aşırı mukus, solunum yoluna yabancı madde girmesi ve akciğerdeki hava yollarında görülen tümörler yer alır. Herhangi bir tıkanmaya bağlı olmadan ortaya çıkan atelektazinin nedenleri arasında ise göğüs travması, plevral efüzyon, pnömotoraks (akciğerde hava kaçağı), zatürre (pnömoni), akciğer dokusunda zedelenme ve hava yollarını kapatmayan tümörler sayılabilir.
Bu nedenlerin yanı sıra, ileri yaş, yutma güçlüğü, uzun süre yatarak tedavi gerektiren durumlar, bazı kapsamlı ameliyatlar, bazı akciğer hastalıkları, genel anestezi ve sigara kullanımı atelektazi riskini artıran faktörler arasında yer alır.
Ameliyat esnasında hastaya uygulanan narkoz hastanın nefes alıp verme düzenini değiştirdiğinden, pek çok büyük ve kapsamlı ameliyat sonrasında hastalarda kısa süreli de olsa atelektazi görülebilir. Buna ek olarak, mukus birikmesi sonucu hava yollarının tıkanmasına bağlı olarak bazı durumlarda akciğerlere yeterli miktarda hava ulaşmaz. Bu durum da ameliyat sonrası karşılaşılabilen bir komplikasyondur ve genellikle ameliyat esnasında derin nefes almayı engelleme amaçlı verilen ilaçların neden olduğu bir durumdur. Ancak, kistik fibrozis ve ağır astım atakları da bu duruma neden olabilir.
Düşme ve kaza sonucu oluşan göğüs travmaları ve travma sonrası kişinin acıyı hafifletme amaçlı derin nefes almaktan kaçınması da akciğerlerin sıkışmasına neden olabilir.
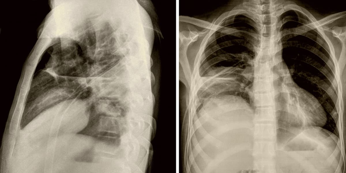
Atelektazi Tanı ve Tedavisi
Atelektazi tanısı genellikle akciğer filmi ile konulur. Gerekli görülen durumlarda bronkoskopi de yapılabilir. Ayrıca, altta yatan nedenin tespit edilmesi için doktorlar farklı testler isteyebilirler.
Atelektazi tedavisi öncelikle bu duruma sebep olan durumun ortadan kaldırılmasıdır. Tedavi, atelektazinin akciğerlerin bir bölümünde mi yoksa tamamında mı görüldüğüne ve bu komplikasyona neden olan faktöre göre değişiklik gösterir.
Akciğerlerdeki hava yolları ve solunum sisteminin yabancı bir madde ya da mukus birikmesi sonucu tıkanması durumunda, tıkanıklığın giderilmesi tedavinin ilk adımını oluşturur. Daha sonrasında, nefes ve öksürük egzersizleri, solunum yoluyla alınan ilaçlar ve nefes almaya yardımcı araçlar gibi yöntemlere de başvurulabilir. Gerekli görüldüğü takdirde, cerrahi müdahale ile bu durumun ortadan kaldırılması sağlanabilir. Ancak, tıkanıklığın tümör kaynaklı olduğu durumlarda farklı tedavi yöntemlerinin uygulanması gerekir.
Atelektazi; tedavi edilmediği takdirde kandaki oksijen seviyesinin düşmesine, akciğerlerde sıvı birikimine, zatürreye ve solunum yetmezliğine neden olabilir.
Çocuklarda atelektazinin önüne geçilebilmesi için çocukların solunum yoluna kaçabilecek küçük nesnelerden uzak tutulması gerekir.




























