Kanal Darlığı (Spinal Stenoz)
Spinal stenoz, omurganızdaki bir veya daha fazla yerde sinirlerin geçtiği kanalların daralmasıdır. Omurganızdaki daha az alan, omuriliğiniz ve omuriliğinizden çıkan sinirleriniz için mevcut alan miktarını azaltır. Sıkılaştırılmış bir boşluk, omuriliğin veya sinirlerin tahriş olmasına, sıkışmasına veya sıkışmasına neden olarak bel,sırt,kol ve bacak ağrılarına yol açabilir.
Spinal stenoz genellikle zamanla yavaş gelişir. En çok, yaşlandıkça omurganızda doğal olarak meydana gelen osteoartrit (kireçlenme) veya "yıpranma" değişikliklerinden kaynaklanır. Bu nedenle röntgen filmlerinde veya başka bir nedenle başka görüntüleme testlerinde bazı değişiklikler görülebilmesine rağmen uzun süre herhangi bir semptomunuz olmayabilir. Omurga darlığınızın nerede ve ne kadar şiddetli olduğuna bağlı olarak boynunuzda, sırtınızda, kollarınızda, bacaklarınızda, ellerinizde veya ayaklarınızda ağrı, uyuşma, karıncalanma ve / veya güçsüzlük hissedebilirsiniz.
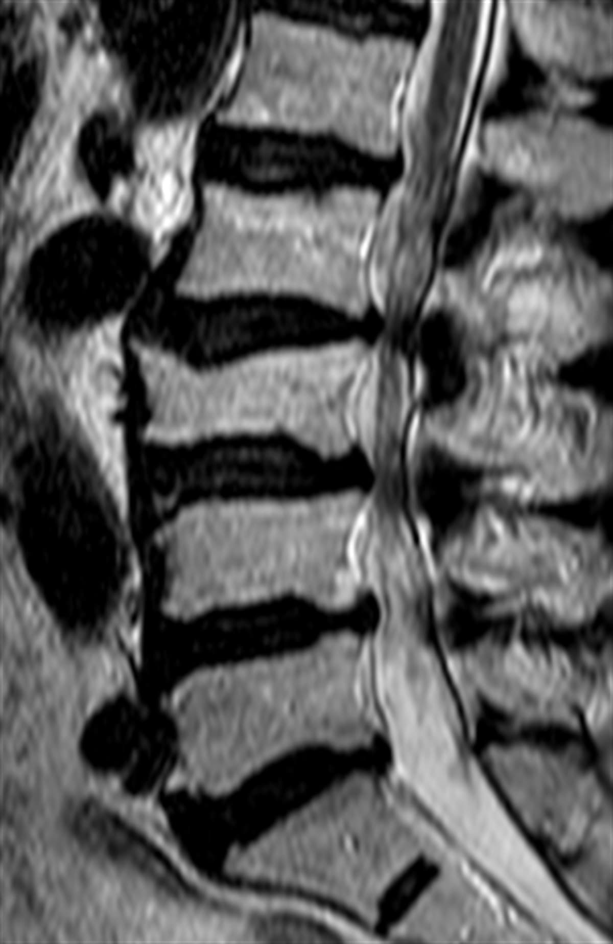
Lomber (bel) kanal darlığı nedir?
Lomber kanal darlığı, omurilik kanalının veya sinirlerin ve diğer yapıların o kanalla iletişim kurduğu tünellerin daralmasıdır. Omurga kanalının daralması genellikle, omurlardan birinin hizanın dışına çıkması da dahil olmak üzere kanalın boyutunu azaltan yaşlanma ile ilişkili değişiklikler nedeniyle oluşur.
Omurilik kanalının veya sinirleri koruyan yan kanalların daralması, genellikle omuriliğin sinir kökünün sıkışmasına neden olur. Kanalın çapı daraldıkça sinirler giderek daha fazla tahriş olur.
Lomber kanal darlığının semptomları arasında bacaklarda, kasıklarda, kalçalarda, kalçalarda ve belde ağrı, uyuşma veya güçsüzlük bulunur. Semptomlar genellikle yürürken veya ayakta dururken kötüleşir ve uzanırken, otururken veya hafifçe öne eğildiğinde azalabilir.
Spinal stenozu kimlerde görülür?
Spinal stenoz herkeste gelişebilir, ancak en çok 50 yaşın üzerinde görülür. Dar bir omurilik kanalıyla doğan gençlerde de spinal stenoz olabilir. Omurgayı etkileyen skolyoz veya omurga yaralanması gibi diğer durumlar sizi spinal stenoz geliştirme riskine sokabilir.
Omurganın bölümleri nelerdir?
Omurgamız 24 kemik (omur) artı sakrum ve kuyruk sokumunun kaynaşmış kemiklerinden oluşan bir kolondur. Kafatasından başlar ve pelvisinizde biter. Omurgamız vücudunuzun ağırlığını destekler ve omuriliğimizi korur. Her omurun yuvarlak bir ön kısmı (gövde), merkezi halka şeklinde bir açıklığı (omurilik kanalı), bir omurun üstünde ve altında diğerleriyle temas ettiği düz kemikli alanlar (faset eklemleri) ve yanlarda kemik bölümleri vardır. Her bir omur gövdesi arasında, bir yastık veya amortisör görevi gören, intervertebral disk adı verilen düz, yuvarlak bir yastık bulunur. Ligamentler, omurları bir arada tutan, omurgayı sabit tutan ve diskleri koruyan güçlü bantlardır.
Omurilik - vücut (kaslar ve organlar dahil) ile beyin arasında mesajlar gönderen ve alan omurilik kanalının ortasından geçer. Tamamen omurganın kemikli kısımlarıyla çevrilidir. Sinir kökleri, omurilikten çıkan ve omurilikten nöral foramen adı verilen omurlar arasındaki yan boşluklardan çıkan bir sinir lifi demetinin ilk bölümüdür. Sinir lifleri veya "sinirler" (daha sonra vücudun tüm bölgelerine gider.
Spinal stenoza ne sebep olur?
Spinal stenozun birçok nedeni vardır. Ortak noktaları, omurganın yapısını değiştirerek omuriliğinizin ve omurganın içinden çıkan sinir köklerinin etrafındaki boşluğun daralmasına neden olmalarıdır. Omurilik ve / veya sinir kökleri sıkışır bu da bel ağrısı ve siyatik gibi semptomlara neden olur.
Spinal stenozun nedenleri şunları içerir:
Kemik büyümesi / artritik durumlar: Osteoartrit, omurganız da dahil olmak üzere eklemlerinizdeki kıkırdağı parçalayan "aşınma ve yıpranma" durumudur. Kıkırdak, eklemlerin koruyucu kaplamasıdır. Kıkırdak yıprandıkça kemikler birbirine sürtünmeye başlar. Vücudunuz yeni kemik üreterek yanıt verir. Kemik çıkıntıları veya aşırı kemik büyümesi sıklıkla görülür. Omurgadaki kemik yapılar omurilik kanalına doğru uzayarak alanı daraltır ve omurgadaki sinirleri sıkıştırır.
Şişkin diskler / fıtıklaşmış disk: Her omur arasında, omurga boyunca amortisör görevi gören düz, yuvarlak bir yastıklama pedi (vertebral disk) bulunur. Omurga disklerinin yaşa bağlı olarak kuruması ve düzleşmesi ve disklerin dış kenarındaki çatlama, bu disklerin jel benzeri merkezinin zayıf veya yırtılmış bir dış tabakadan geçmesine neden olur. Şişkin disk daha sonra diskin yakınındaki sinirlere bastırır.
Fıtıklaşmış diskler ve kemik çıkıntıları, spinal stenozun iki yaygın nedenidir.
Kalınlaşmış bağlar ve eklemler: Ligamentler, omurgayı bir arada tutan lif bantlarıdır. Artrit, bağların ve faset eklemlerin zamanla kalınlaşmasına ve spinal kanal boşluğuna doğru şişmesine neden olabilir.
Omurilik kistleri veya tümörleri: Omurilik içinde veya omurilik ile omurlar arasındaki büyümeler, alanı daraltabilir ve omurilik ve sinirlerine baskı uygulayabilir.
Konjenital spinal stenoz: Bu, kişinin küçük bir spinal kanal ile doğduğu bir durumdur.
Spinal stenozun belirtileri nelerdir?
Spinal stenoz ilk geliştiğinde semptomlarınız olabilir veya olmayabilir. Omurga kanalının daralması genellikle yavaş bir süreçtir ve zamanla kötüleşir. Spinal stenoz, omurga boyunca herhangi bir yerde meydana gelebilse de belirtiler kişiden kişiye değişir ve gelip gidebilir.
Bel (lomber) spinal stenozun semptomları şunları içerir:
Belde ağrı. Ağrı bazen hafif ağrı veya elektrik benzeri veya yanma hissi olarak tanımlanır. Acı gelip gidebilir.
Siyatik. Bu, kalçada başlayan ve bacaktan aşağıya uzanan ve ayağınıza kadar devam edebilen ağrıdır.
Bacaklarda bir veya iki bacakta kramplara neden olabilen ağır bir his.
Kalçada, bacakta veya ayakta uyuşma veya karıncalanma
Bacak veya ayaktaki güçsüzlük (darlık kötüleştikçe).
Uzun süre ayakta dururken, yürürken veya yokuş aşağı yürürken kötüleşen ağrı.
Eğildiğinde, hafifçe öne eğildiğinde, yokuş yukarı yürürken veya otururken azalan ağrı.
Mesane veya bağırsak kontrolü kaybı (ağır vakalarda).
Spinal stenoz ameliyatı ne zaman düşünülür?
Spinal stenozun tedavi seçenekleri başarısız olduğunda düşünülür. Genellikle spinal stenoz cerrahilerinden hastalar çok fayda görmekte ve tekrar kanal darlığı oluşmamaktadır.





































