Omurga Tümörü
Anormal bir hücre kitlesinin büyümesi tümör olarak adlandırılır. Omurilik tümörü ise omurilik veya çevresindeki alanda ortaya çıkan tümörlerdir. Omurilik tümörü iyi huylu (benign) ve kötü huylu (malign) tümörler şeklinde sınıflandırılır. Fakat tümör iyi huylu olsa dahi, omurilik ve sinirde baskı oluşturduğu için ağrı ve rahatsızlık oluşturabilir. Omurilikte ortaya çıkan ve kansere neden olan primer omurga tümörü ve akciğer, meme ve prostat gibi başka bir kanser türünden ortaya çıkıp omuriliğe yayılan sekonder omurga tümörü olmak üzere iki grupta incelenir. Bunun yanı sıra nörofibromatozis gibi genetik hastalıklarda da omurilik tümörleri gözlenebilir.
Omurga Tümörü Nedir?
Omurilik veya omurgayı kaplayan, herhangi bir dokudan kaynaklı, anormal yapıdaki lezyona omurga tümörü denir. Omurilik tümörü sinir sisteminde, kan damarlarında ve kemiklerde sorunlara neden olur. Omurilik tümörü tedavi edilmediği durumlarda, genellikle sinirde kalıcı hasara ve sakatlığa neden olur. Fakat erken teşhis edilmesi, başarılı bir tedavi ihtimalini arttırır. Omurga tümörü, primer ve sekonder tümör olmak üzere iki grupta incelenir. Primer omurga tümörü omurgadan kaynaklı ortaya çıkar, genel olarak iyi huyludur (benign) ve görülme sıklığı azdır. Omurgadan kaynaklı kötü huylu (malign) tümörler de bulunmakta olup, bunlar genellikle vücudun başka yerinden sıçrayarak omurgaya yayılır. Bu tümörler sekonder omurga tümörü grubunda yer alır. Metastaz yaparak omuriliğe sıçrayan bu tümör çeşidi, akciğer, prostat ve meme kanserlerinden büyük oranda etkilenerek yayılma eğilimi gösterir. Semptomlara omurilik ve sinir uçları üzerinde baskıya neden olur. Omurilik üzerindeki bu baskı ise çok ağır ağrı, uyuşma ve karıncalanma belirtileri gösterir. Hastalığın hızlı bir şekilde ilerlediğini, geç tanı ve tedavinin felç gibi ağır hastalıklarla sonuçlanacağı göz önünde bulundurularak, omurgada meydana gelen, sürekli ve geçmeyen ağrılarda bir hemen bir doktora başvurulmalıdır.
Omurga Tümörü Belirtileri Nelerdir?
Omurga tümörü belirtileri arasında sırt, boyun, kol ve bacaklarda ağrı, kaslarda zayıflama ve uyuşma, halsizlik ve idrara çıkma sorunu bulunmakla birlikte belirtiler hastanın yaşına ve sağlık durumuna göre farklılık gösterir. Omurga tümörü belirtileri görülmeye başlandıktan sonra hızlı bir şekilde yayılır. Özellikle prostat veya böbreklerde ortaya çıkıp omurgaya yayılan metastatik omurga tümörleri hızlı bir şekilde yayılarak vücutta ilerler. Omurga tümörünün en belirgin belirtisi ağrıdır. Omurgadan gelen ağrı tümörün habercisi olabilir. Tümör sinir uçlarına baskı yaparak omurga stabilitesinde bozulmaya neden olabilir. Omurganın diziliminde meydana gelen bozulmalar ise duruş bozukluğu, kamburluk gibi ciddi bozuklukluları meydana getirebilir.
Omuriliğe baskı yapan tümör, kollarda ve bacaklarda uyuşma ve karıncalanma gibi semptomlar gösterebilir. Bu durum hastaların günlük işlevlerini yerine getirirken zorlanmalarına sebep olabilir. Ayaklarda hissizlik ve ayakta durmakta zorlama, yürüme güçlüğü, elleriyle bir şeyleri tutamama, herhangi bir düğmeye ve tuşlara basamama gibi sorunlara yol açabilir. Hastalık ilerledikçe bacaklarını hareket ettirememe ve felç olma ile sonuçlanabilir.
Bazı belirtiler aşağıdaki gibidir:
- Ellerde ve bacaklarda üşüme
- Sırtta, kollarda ve bacakta oluşan ağrı ve uyuşma hissi
- Kas spazmları
- Bağırsaklarda oluşan problemler
- Sürekli zamanla artan ağrılar
- Kasların zayıflaması
Omurga Tümörü Türleri Nelerdir?
Omurilik tümörleri birçok farklı alanı etkiler. Bazı omurilik tümörleri aşağıdaki gibidir:
- Astrositom: Omurilik içindeki glia hücrelerinde oluşan tümör çocuklarda daha yaygın olarak görülür. Omurilikte meydana gelen astrositomlar, tümörden büyümesiyle omurilikte bulunan bölgeyi etkiler ve sakatlığa neden olur.
- Kordoma: Omurgada bulunan vertebral kemik ve kıkırdak hücrelerinde ortaya çıkan tümörün diğer tümör türlerine göre görülme sıklığı daha azdır.
- Ependimoma: Merkezi sinir sisteminde ortaya çıkan tümörün görülme sıklığı azdır. Ependimoma, beyin omurilik sıvısının geçiş yollarını kaplayan ependimal hücrelerde başlar.
- Gliom: Beyin ve omurilikteki hücrelerin kontrolden çıkmaları sonucunda oluşan tümördür. Konumuna ve büyüme hızına bağlı olarak hayati tehlikelere neden olabilir.
- Meningiom: Omurilik sıvısını ve omuriliği çevreleyen ince zar olan dura mater adı verilen yerde ortaya çıkar. Genellikle orta ve ileri yaştaki kadınlarda görülür. Bu tümör genellikle iyi huyludur.
- Neurofibrom: Genellikle iyi huylu bir tümördür. Yumuşak yumrular şeklinde görülür. Bir tür genetik bozukluktan dolayı ortaya çıkar.
- Schwannoma: Periferik sinirlerin içinde oluşmaya başlar. Omurilikteki sinir köklerinin işlevini zamanla kaybetmesine neden olan tümör genellikle iyi huyludur.
Omurga Tümörü Teşhisi Nasıl Konulur?
Daha önce kanser hastalığı geçirmiş ya da sinirlerinde fonksiyon kaybı bulunan kişilerde omurga tümörü riski daha fazladır. Çeşitli sırt ağrıları omurilik tümörünün habercisi olabilir. Omurga tümörünün tedavi yöntemleri, tümörün türüne, konumuna ve kişinin sağlık durumuna göre değişkenlik gösterir. Tümörün türüne göre belli bir tehlike yaratmayacağı test edilerek, tümörün tamamı veya bir kısmı cerrahi müdahale ile çıkarılabilir. Cerrahi müdahaleye ek olarak radyasyon tedavisi de kullanılabilir. Omurga tümörü semptomları bazen hafife alınabilir. Ya da oluşan ağrıların geçmesi beklenebilir. Fakat bu durumda tümörün ilerlemesi ve yayılması gerçekleşebilir. Ağrıların fark edilmesiyle birlikte bir doktora başvurulmalı ve hem fiziksel hem de nörolojik muayenelerin yapılması gerekir.
Omurga tümöründen şüphelenen doktorlar;
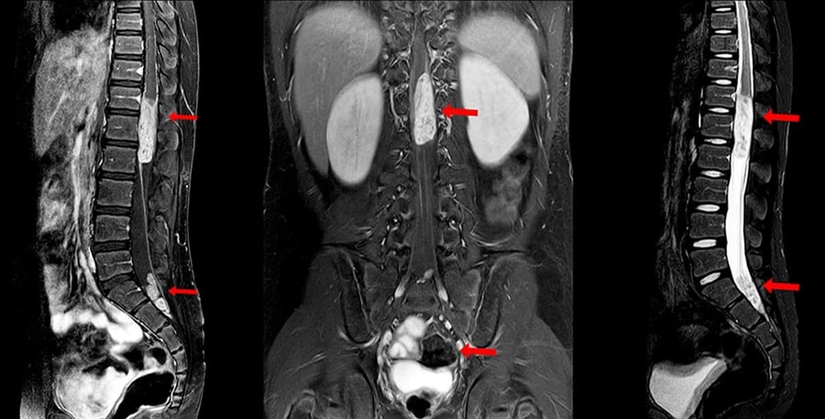
- MRI ile omurgada, omurilikte ve sinirlerde ortaya çıkabilecek tümörü görüntüler ve buradan yola çıkarak teşhis koyar.
- Bilgisayarlı tomografi (BT) testi ile, radyasyon ışınları kullanılarak omurganın ayrıntılı bir şekilde görüntülenmesi sağlanır. Omurilikte bulunabilecek tümörün ortaya çıkmasını kolaylaştırmak için birtakım enjekte yöntemleri kullanılır. Fakat BT yaygın olarak tercih edilmez.
- Biyopsi, omurga tümörünün tam olarak şeklini ortaya koyan bir yöntemdir. Alınan küçük bir doku örneğini, mikroskop ile inceleyerek tümörün şekli belirlenir. Alınan sonuçlara göre de tedavi uygulanır.
Omurilik Tümörü Tedavi Yöntemi Nelerdir?
İyi huylu ve kötü huylu primer omurga tümörü için cerrahi müdahale ve ameliyat önerilse de, omurga da yayılan omurga metastazının sayısı, yerleşim yeri, hastada oluşturduğu şikayetlere göre cerrahi planlaması yapılmalıdır. Radyasyon tedavisi ve kemoterapi, ameliyat ile tümörün alınamadığı durumlarda ya da cerrahi sonrası tümörün tedavisinin parçası olarak uygulanan tedavi yöntemlerindendir.
- Radyasyon tedavisi, primer tümörü olan hastaların çoğunda uygulanmayan bir tedavidir. Bunun yanı sıra radyasyon tedavisi, omurilik metastazı olması ve tümörün omuriliğe yayılması durumunda uygulanan bir tedavi yöntemidir. Ayrıca tamamen çıkarılmayan bazı primer tümörleri ve iyi huylu, düşük seviyedeki omurilik tümörleri tedavisi için de başvurulan yöntemdir. Fakat omurilik radyasyonun etkilerine duyarlıdır. Bu sebeple oluşabilecek ez az hasarla tedavi uygulanır.
- Kemoterapi, yetişkinler için uygulanan bir tedavi yöntemidir. Ameliyat sonrası gelişen omurilik tümörü için tercih edilir. Kemoterapi genel tanımıyla, tümörden kaynaklı kanser hücrelerini öldürmek, ortadan kaldırmak için çeşitli ilaçların kullanılmasına eşlik edecek biçimde uygulanan bir yöntemdir. Genellikle ağız yoluyla ya da bir kan damarı veya kas içinde enjeksiyon yapılarak uygulanır. Bir ilaç yahut birkaç ilacın bir arada kullanılması şeklinde yapılır. Diğer bir kemoterapi yöntemi olan, intratekal kemoterapi ise ilaçların beyin omurilik sıvısına enjekte edilmesi yoluyla uygulanır. Kemoterapi genellikle döngü halinde yapılır. Bu döngü belli bir tedavi süresi, ardından iyileşme ve tekrar tedavi süresinin geçmesi şeklindedir. Hastaların tedavi dönemi boyunca hastanede kalmaları gerekmez. Hastalar, doktorun kliniğine veya hastaneye giderek ilaç alabilirler. Bunun yanı sıra ilacın türüne, verilme şekline ve hastanın sağlık durumuna bağlı olarak kısa bir süre hastane de kalmasını gerektiği koşullar da olabilir.
Ameliyat ve İyileşme Süreci Nasıldır?
Tümörü sağlıklı dokudan ayırt etmek için yüksek güce sahip mikroskoplar kullanılır. Bu sayede tümörün sağlıklı dokudan ayırt edilmesi kolaylaşmış olur. Bunun yanı sıra da ameliyat sırasında omurilikte tümörden kaynaklı oluşabilecek riskler kontrol edilir ve oluşabilecek hasarlar en aza indirilir. MRI, BT ya da biyopsi gibi çeşitli teşhis yöntemlerini uyguladıktan hemen sonra tedavi yöntemi uygulanmalı ve kalıcı hasarın önüne geçilmelidir.
Tümörün tamamı ya da bir kısmı alınır. Bazı durumlarda da ameliyat sırasında, tümörleri hem parçalamak hem de parçalanan tümör dokusunun ortamdan uzaklaştırılmasını sağlamak için çok yüksek frekanslı ses dalgaları kullanılabilir. Tümörün tamamının çıkarılması her zaman mümkün olmayabilir. Bu durumda kanserin türüne de bağlı olarak radyasyon ya da kemoterapi tedavisi uygulanabilir. Meningiomların, neurofibromların ve diğer bazı primer omurilik tümörlerinin tamamen çıkarılması mümkündür. Sınırları belliyse ve vücudun başka yerlerine yayılmadıysa, tümörün çıkarılması ve hastanın büyük oranda iyileşmesi büyük oranda gerçekleşir.
Omurga tedavisinde iyileşme, ameliyatın nasıl geçtiğine ve kişiden kişiye bağlı olarak değişir. Haftalar ya da aylar sürebilir. Ameliyat sonrası, geçici his kaybı, kanama ve sinir dokusunda hasar oluşması gibi çeşitli durumlar görülebilir. Fakat bu kalıcı hasarın oluşmasından daha küçük bir risk faktörüdür. Tedaviden sonra, kasları güçlendirmek ve tekrar düzgün çalışmalarına yardımcı olmak için fizik tedavi programı uygulanabilir.





































