Bel Tümörü Nedir?
Pek çok kişinin hayat kalitesini düşüren hastalıklardan birisi bel tümörüdür. Daha çok omurga ve omurilik tümörü şeklinde karşımıza çıkan bel tümörü, kişinin yürümesini ve ısıya karşı duyarlılığını etkileyerek bel ve çevresindeki organlarda ağrıya sebep olmaktadır. Birçok sebepten dolayı ortaya çıkabilecek olan bel tümörünün tedavi yöntemleri de hastanın şikayetine ve tümörün evresine göre değişkenlik gösterebilmektedir.
Bel Tümörü Neden Olur?
Az önce de belirtildiği üzere bel tümörünün sebepleri çeşitlidir. Uzmanlar, neden oluştuğu henüz net olarak bilinmeyen bel tümörünün birincil sebebi olarak genetik faktörleri göstermektedir. Kalıtım yoluyla aktarıldığı düşünülen bel tümörüne çevresel etkenlerin de sebep olabileceği ortaya atılmaktadır.
Kimi durumlarda von Hippel-Lindau ve nörofibromatozis tip 2 hastalığı gibi genetik hastalıklara sahip olan kişilerde de bel tümörü görülebilmektedir.
Bel Tümörünün Türleri Nelerdir?
Bel tümörü, çok çeşitli şekillerde hastanın vücudunda oluşabilmektedir. Buna göre, bel tümörü çeşitleri aşağıda sıralanmıştır:
1. Gliom
Beyindeki destekleyici doku olan glial hücrelerde meydana gelen tümörlerin genel ismine gliom denilmektedir. Kimi zaman tüberöz skleroz veya nörofirbomatozis gibi genetik hastalıklar glioma sebep olabilmektedir.
En yaygın rastlanan gliom türü ise astrositomdur. Nöbet, bağ ağrısı, bulantı gibi beyin tümörü hastalarındaki genel belirtiler bu hastalıkta da seyredebilmektedir.
2. Astrositom
Astrositler, vücutta sinir hücrelerine destek sağlamaktan sorumludur. Astrositom ise bu hücrelerde başlayan hastalığın adıdır.
Beyin ya da omurilikte görülebilen astrositom, esasında bir kanser çeşididir. Astrositomun beyinde ortaya çıkması halinde hastada baş ağrısı, nöbet ve bulantı gibi sorunların baş göstermesine davetiye çıkarmaktadır. Astrositomun omurilikte ortaya çıkması ise büyüyen tümörden etkilenen bölgeyi güçsüzleştirip fonksiyon kaybına uğratabilmektedir.
3. Kordoma
Kafa tabanı, omurganın bitimi ve anal bölgenin başladığı bölge olan sakrokoksigeal bölge ile omurganın hareketli kısımlarında ortaya çıkabilmektedir. Bulunduğu bölgeye yayılma riski büyük olan kordoma tümörü, milyonda bir görülen nadir bir hastalıktır.
4. Ependimoma
Beyin odacıklarında ve omurilik kanalında bulunan ependim hücrelerinde meydana gelen tümörün yarattığı hastalıktır. Başka bir deyişle ependimoma hastalığı ventriküler sistem ile omurilik kanalında meydana gelen bir tümör sonucunda ortaya çıkmaktadır.
En çok 3-4 yaşlarında görülebilen bu hastalık, diğer yaş gruplarında da görülebilmektedir. Ependimomaya sebep olan etkenler arasında akut lösemi tedavisi veya retinoblastom işlemleri gösterilse de hastalığın sebebi henüz tam olarak bilinmemektedir.
5. Meningiom
Beyni korumakla görevli “dura” denilen zarlarda oluşan tümörlere meningiom adı verilmektedir. Meningiom görülen hastalarda epilepsi, baş ağrısı, felç, koku almada sorun, duyma kaybı gibi şikayetler ortaya çıkabilmektedir.
Tipik meningiomlar, kanser değildir yani iyi huylu tümörler olarak bilinirler ancak atipik ve malign olarak adlandırılan meningiom hastalıkları ortaya çıktıkları yerde beynin diğer bölgelerinde tekrarlayabilirler.
6. Neurofibrom
Nörofibrom olarak da bilinen bu hastalık, sinirlerde meydana gelen tümörlerden dolayı ortaya çıkmaktadır. Ciltte iyi huylu tümörler şeklinde kendini gösteren bu hastalık, beynin görme ve duyma ile ilgili bölümlerini olumsuz etkileyerek bu fonksiyonlarda kayba yol açabilmektedir.
Nörofibromatozis adıyla da bilinen nörofibrom, genetik (kalıtsal) bir hastalıktır.
7. Schwannoma
Başka hastalıklarla birlikte görülebildiği için tanı koyması zor olan Schwannoma hastalığı, çevresel sinir kılıfı tümörleri olarak bilinir.
Bel Tümörünün Belirtileri/Semptomları Nelerdir?
Vücutta farklı şekillerde seyredebilen bel tümörü, çıktığı bölgeye göre ve hastalığın türüne göre kişide farklı belirtiler gösterebilmektedir. Omurga ve omurilikte meydana gelen tümörleri de kapsayan bel tümörlerinin genel belirtileri aşağıda listelenmiştir:
- Tümörün oluştuğu bölgede ağrı
- Bağırsak ya da mesanede (idrar kesesi) işlev kaybı
- Isıya, soğuğa ve ağrıya karşı duyarlılığın azalması, hissizleşme
- Sırtta başlayan ve vücudun diğer kısımlarına da yayılan bir ağrı
- Geceleri daha da şiddetlenen bir sırt ağrısı
- Yürümede zorluk yaşama (Bazen bu zorluk, yürürken düşmeye de sebep olabilir)
- Kol ve bacakta hissizlik ile kas zayıflığı
- Vücudun çeşitli kısımlarında kas zayıflığı (Orta veya daha büyük seviyelerde de gelişebilir)
Bu belirtilerden en çok öne çıkan ise sırt ağrısıdır. Bel tümörünün erken tanısında sırt ağrısı önemli bir faktördür. Ağrı zamanla (tedavi yapılsa bile) kişinin kalça, kol ve bacaklarına yayılabilir.
Sırt ağrısının geceleri daha da şiddetlenmesi, sürekli tekrarlaması, bir kereye mahsus olmaması, herhangi bir sportif aktivite vb sonucu meydana gelmemesi ile sırt ağrısına bulantı, baş dönmesi ve kusma gibi belirtilerin de eşlik etmesi durumunda kişinin en kısa sürede bir hekime danışması gerekmektedir.
Bel Tümörü Nasıl Teşhis Edilir?
Bel tümörleri yaygın görülen hastalıklar olmadığından ve başka hastalıklarla ortak özellikler barındırabildiğinden ötürü teşhisi zor bir hastalıktır. Bu nedenle hastanın sağlık geçmişinin alınması, genel, nörolojik ve fiziksel muayene yapılarak elde edilen tüm bilgilerin birlikte değerlendirilmesi önem taşımaktadır.
Yapılan muayeneler sonucunda bel tümöründen şüphelenilmesi halinde doktor, bazı test ve yöntemlerden faydalanabilmektedir. Aşağıda bel tümörü teşhisinde kullanılan bazı yöntemler sunulmuştur:
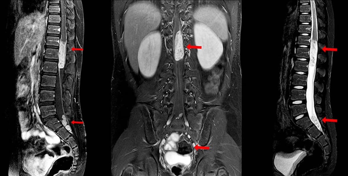
1. Spinal Manyetik Rezonans Görüntüleme (MRG)
Omurilik ve sinirlerin doğru görüntülerinin elde edilmesi işleminde MRG testi kullanılmaktadır. Dolayısıyla tümörün bulunduğu noktayı tespit etmede MRG testi önem taşımaktadır. Test sırasında belli dokuları vurgulamak amacıyla hastanın ön kolundaki veya elindeki damara kontrast bir madde enjekte edilebilir.
Test sırasında MRG tarayıcısı gürültülü bir ses çıkardığı için hastalara kulak tıkacı verilmektedir. Kişinin test sırasında aşırı kaygılanması durumunda sakinleştirici verilebilmektedir. Kimi durumlarda ise genel anestezi yapılmaktadır.
Bilgisayarlı Tomografi (BT)
Omurganın detaylı görüntüsünü yakalamak amacıyla bilgisayarlı tomografi (BT) yöntemi kullanılabilmektedir. Dar bir radyasyon ışın demeti ile yapılan BT yöntemi, kimi zaman omurgadaki anormal değişiklikleri saptamak için kontrast boya enjeksiyonu devreye sokularak gerçekleştirilebilir.
Biyopsi
Omurgada bulunan tümörü teşhis etmenin en kesin yolu biyopsidir. Biyopsi, tümör şüphesi olan bölgeden doku örneği alınıp laboratuvarda incelenmesi yoluyla gerçekleştirilen bir yöntemdir.
Doktor biyopsi sonuçlarına göre, tedavide hangi yöntemi kullanacağına da karar verebilmektedir.
Hangi Tedavi Yöntemleri Kullanılır?
Hastanın yaşına, genel sağlık durumuna, taşıdığı diğer hastalıklara ve son olarak tümörün başka bölgelere sıçrama tehlikesine göre doktorun uygulayacağı tedavi yöntemi değişebilmektedir. Bu yüzden her hasta için tek bir tedavi yönteminin uygulanması söz konusu değildir.
Öte yandan tümörün omurga kanalından kaynaklanıp kaynaklanmadığı da tedavi yönteminin belirlenmesinde önem taşıyan bir etmendir.
Bel tümörü tedavisinde doktorun izleyeceği pek çok yol bulunmaktadır. Bu yöntemler şu şekilde açıklanabilir:
1. İzleme
Yukarıda da sözü edildiği üzere, tümörün başka bölgelere sıçrama tehlikesi ve büyüyüp büyümediği tedavi yöntemine karar vermede önemli bir adımdır. Eğer tümör başka dokuları olumsuz etkilemiyorsa ve küçük boyuttaki tümörler büyümüyorsa o halde hekimin tümörü izlemesi doğru bir yöntem olacaktır.
İzleme tedavisi süresince belirli aralıklarla hastanın duruma göre BT veya MRG taramalarının yapılması gerekmektedir. Bu taramaların sonuçları doktorun tedavinin bir sonraki adımını planlamasına yardımcı olmaktadır.
2. Cerrahi Yöntem
Yeni teknikler ve araçlar sayesinde eskiden ulaşılmayan tümörleri ilgili bölgeden çıkarmak kolaylaşmıştır. Ameliyat sırasında kullanılan güçlü mikroskoplar yardımıyla tümörlü bölge, sağlıklı alandan çıkarılmaktadır.
Kabul edilebilir bir omurilik ve sinir yaralanması riskiyle temizlenebilecek düzeyde olan tümörlerin tedavisinde cerrahi yönteme başvurulabilmektedir. Ancak bölgenin tamamen temizlenmesi her zaman söz konusu olmamaktadır. Bu gibi durumlarda kemoterapi ve/veya radyasyon tedavisi kullanılabilmektedir.
3. Radyasyon tedavisi
Ameliyatın aşırı risk taşıması, tümörlerin bir kısmının ameliyatla temizlenememesi durumlarında radyasyon tedavisine başvurulmaktadır. Radyasyon tedavisi sonrasında kişilerde kusma ve bulantı gibi yan etkiler gözlemlenebilmektedir. Bu tip yan etkilerin en aza indirilmesinde ilaç desteği alınabilir.
4. Kemoterapi
Günümüzde kanser hastalarının tedavisinde sıklıkla kullanılan yöntemler arasında yer alan kemoterapi, bel tümörü sorunu yaşayan kişilerde de kullanılmaktadır. Kemoterapi ile hastanın vücudundaki tümörün büyümesi engellenir ve kanser hücreleri temizlenmeye çalışılır. Bu esnada ilaç kullanılır.
Kemoterapi seansları sonrasında hastada kusma, bulantı, halsizlik, saç dökülmesi ve enfeksiyon kapma riskinde artış gibi yan etkilere rastlanmaktadır.
5. İlaç Tedavisi
Yukarıda saydığımız yöntemlerin haricinde vücutta şişme veya omurilik iltihabı gibi yeni sorunlara yol açmamak amacıyla doktorun tavsiye ettiği ilaçlardan faydalanılabilmektedir.
Sıkça Sorulan Sorular
1. Tümör ve kanser arasındaki fark nedir?
Tümör, çeşitli nedenlerle vücudun belli bölgelerinde oluşabilir. Tümörler, iyi huylu ve kötü huylu tümörler şeklinde ikiye ayrılarak incelenir. İyi huylu tümörlerin başka organlara ya da dokulara sıçrama ihtimali yoktur, tıp deyimiyle metastaz gerçekleşmez. Ancak kötü huylu tümörlerin büyüme ve diğer organlara yayılma riski vardır. Kötü huylu tümörlere “kanser” adı verilmektedir.
2. Bel tümörü kanser midir?
Tümörler iyi huylu ve kötü huylu tümörler olmak üzere iki çeşittir. Bir tümör, kötü huylu olduğu tespit edildiği zaman “kanser” olarak değerlendirilmektedir. Aynı durum, bel tümörü için de geçerlidir. Eğer yapılan tarama ve testler sonucunda tümörünüzün kötü huylu olduğu anlaşıldıysa hastalığınız “kanser” olarak tanımlanmaktadır.
3. Sinir tümörü nedir?
Sinir kılıfı tümörü veya Schwannom adıyla da bilinen bu tümör çeşidi, kulak çınlaması ve duyma sorunu gibi şikayetlerle karakterizedir. Bu tümörler iyi huyludur ancak beyin sapı ile beyinciğe yakın konumlandığı için tanı konulduğunda vakit kaybetmeden tedavi edilmesi gerekmektedir.
4. Bel tümörünün kanser olduğu anlaşılır anlaşılmaz kemoterapiye başlanır mı?
Bel tümörünün kanser olduğu tespit edildiğinde uygulanacak çeşitli tedavi yöntemleri vardır. Tümörün boyutu, yayılma riski, iyi ya da köyü huylu olması, hastanın sağlık geçmişi gibi özellikler tedavi sırasında göz önünde bulundurulur. Dolayısıyla her hastaya kemoterapi uygulanması şart değildir.
5. Baş ağrısı tümör belirtisi olabilir mi?
Baş ağrısının psikolojik, nörolojik ve fiziksel olmak üzere pek çok sebebi bulunmaktadır. Baş ağrısıyla birlikte kaslarda hissizlik ve özellikle sırt ağrısı yaşayan kişilerin tümörden şüphelenmesi olasıdır. Bu durumun tekrarlaması halinde en kısa zamanda bir hekim desteği alınması önem taşımaktadır.
6. Bel tümörü ameliyatı tümörü tamamen yok edebilir mi?
Bel tümörü tedavisinde kullanılan yöntemlerden birisi de cerrahi müdahaledir yani ameliyattır. Ameliyat tedavisi sonrasında hastanın vücudundaki tümörün tamamen alınması risk teşkil edebileceği durumlarda mümkün olmamaktadır. Bu tip vakalarda kemoterapi veya radyasyon tedavisi gibi yöntemlerle temizlenemeyen tümör, ilgili bölgeden arındırılmaya çalışılır.
7. Bel tümörü ameliyatından sonra nelere dikkat etmek gereklidir?
Hastanın bel tümörü ameliyatından sonra doktorunun tavsiyelerine uyması önem taşımaktadır. Ayrıca kişinin enfeksiyon kapmaması için diğerleriyle yakın temastan kaçınması, hijyenine önem vermesi gereklidir.




































